岡山で審美歯科治療
お口の機能を保ちつつ、歯や口元の見た目を美しく整える審美歯科についてご説明します。審美歯科には、使用する歯科材料やテクニック、治療の組み合わせなど、さまざまな選択肢があります。そのため、まずは貴方のご希望をお聞かせください。
審美歯科治療とは
審美歯科治療は、歯やお口の見た目を美しくするために、機能性を保ちながら審美歯科材料(セラミックなど)を歯に貼りつけたり、被せたりする治療法です。
たとえば、歯のガタつきやデコボコを治すには矯正治療が候補になりますが、治療期間が長くなったり費用が高額になったりすることから、治療に踏み切れない方も多くいらっしゃいます。
その場合、審美歯科治療が選択肢となります。ただし、どの治療にもメリットだけでなくデメリットが存在するため、十分に理解することが大切です。
特に、魅力的なキャッチコピーで誘導するような安易な審美歯科や美容歯科医院では、失敗例やトラブルも多く報告されているため、下記の点をしっかりと調べたうえでご判断ください。
- 治療の種類やメリット・デメリット
- 実績があり、信頼できる歯科医院
- 治療内容や適正な費用
Q. 審美歯科治療した歯は永遠?
患者さまから「審美歯科治療をした歯は一生もちますか?」と質問されることがあります。高額な治療費がかかるため、一生もたせたいというお気持ちはよくわかりますが、答えは「NO」です。
たとえば、「80代の方のお口の中に何本の歯が残っていますか?」という質問を考えれば、セラミック自体に問題がなくても、歯茎や骨の衰えにより一生もたせることの難しさをご理解いただけるはずです。
ところが、医院によっては「セラミックの歯なら一生もちます。半永久的なものです」と謳っているところもあるため、注意が必要です。
「では、何年もちますか?」と聞きたくなりますよね。当サロンはセラミックをはじめ自費治療の補綴物(詰め物、被せ物、義歯など)には5年間の無料保証を発行しています。
ただし、当サロンの予防歯科プログラムに沿って定期健診をきちんと受けていただく事が前提です。
そして、セラミックなどの補綴物を少しでも永く使用したいのであれば、歯医者の定期検診と毎日のお手入れを必ずおこなってください。そうすれば、審美歯科治療した綺麗な歯でいられる時間を伸ばすことは十分に可能です。
審美歯科治療の流れ
岡山ビューティースマイルサロン(医療法人なかの歯科クリニック)の審美歯科治療の流れをご説明するにあたり、セラミック系の審美歯科治療を例にご説明します。
- 審美歯科治療にはさまざまな種類があり、複数の治療を組み合わせることも多いため、あくまで一例としてご参照ください。また、お口の状態やご希望によっては、治療の順序や内容が変更となる場合があることをご了承ください。
-
初診カウンセリング
治療を成功させるには、何よりもカウンセリングが重要です。初回は診査・診断を目的として、専用のカウンセリングルームで行います。そのため、ご希望や悩みは、しっかりと担当者にお伝えてください。
また、お口の状態を把握するために、レントゲン撮影などの診査・診断も行います。 -
検査結果後のカウンセリング
このカウンセリングでは、治療の選択を目的に、レントゲン写真や歯の模型を用いてご説明します。 症例によっては、治療後のイメージを再現した模型をお渡ししたり、治療後のイメージをご覧いただいたりすることもあります。
この後、適切と思われる治療プランをご説明し、治療計画書・お見積り・使用材料の説明書をお渡ししますが、提示するプランに納得できなければ保留や、お断りいただいて構いません。 -
仮歯調整
歯を削って仮歯を作成し、患者さまのご希望を伺いながら、仮歯を調整していきます。
-
歯の型取り
被せ物を作るために歯型を取り、歯科技工士が色の調整を行います。
-
セラミックを装着して、治療完了
完成したセラミックを患者さまの歯に装着します。ご満足いただけましたら治療は完了です。
治療終了後は、定期的にメンテナンスを受けて、現在の美しい歯を維持してください。
審美セラミックvs矯正歯科
歯のガタガタやデコボコを治すには、かつてはワイヤー矯正しか方法がありませんでした。しかし、ワイヤー矯正は費用が高く、治療期間も長いため、なかなか踏み切れない方も多くいらっしゃいました。現在では、審美セラミック治療などの選択肢も登場しています。ただし、どちらの治療法にもメリット・デメリットが存在するため、それぞれの違いを簡単にご説明します。
審美セラミック
-
審美セラミックのメリット
短期間で治療が完了し、歯の変色なども改善できます。そのため、数ヶ月先の結婚式や入学・卒業式などの大切なイベントに間に合わせることも可能です。
-
審美セラミック治のデメリット
健康な歯を削る可能性が高いことです。また、お口の状態によっては歯の神経を取る必要や、十分な効果が得られないケースもあります。
矯正歯科
-
矯正歯科のメリット
歯を削ったり、神経を抜いたりする可能性が低く、見た目だけでなく、お口の機能も維持しやすいと言えます。最近は、目立たないマウスピース矯正が人気で敷居も低くなっています。
-
矯正歯科のデメリット
基本的に費用が高く、治療期間も長くなりやすい点が挙げられます。また、従来のワイヤー矯正は装置が目立ちやすく、装着時に痛みを感じることがあるのもデメリットです。
当サロンは、審美歯科だけでなく、矯正歯科にも力を入れています。特に、装置が目立たず気軽に治療を受けやすい透明素材のマウスピース矯正を得意としており「インビザライン・プラチナ・エリート・プロバイダー」に認定されています。
そのため、患者さまのご要望に合わせて、最適な歯科治療や複数の治療を組み合わせたご提案も可能です。どうぞお気軽にご相談ください。
ラミネートベニア治療
ラミネートベニアは、薄いセラミックを歯に貼りつける治療法です。オールセラミック治療では歯全体を大きく削る必要がありますが、ラミネートベニアなら歯の表面を約0.5~0.7mm削るだけで済むため、麻酔は不要で、痛みもほとんどありません。
お口の状態によっては、歯を全く削らずに貼りつけるだけの場合もあります。古くからある治療法ですが、審美歯科の人気とともに、その長所が再評価されています。
- 施術名ラミネートベニア
- 施術の説明セラミックなどの材料や歯を白くするホワイトニング剤を使用して、歯の色や形を修正する治療法。
- 施術の副作用(リスク)歯の一部を削ることで知覚過敏や一時的な痛みが生じるリスク・副作用があります。
- 施術の価格(税込み)1歯につき121,000円
当サロンでラミネートべニア治療をされた患者さまの治療前&治療後写真をお見せします。各症例の下に治療詳細情報を掲載しております。
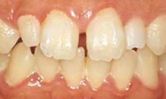
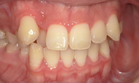
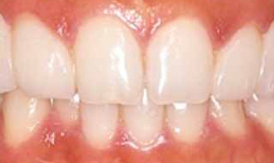
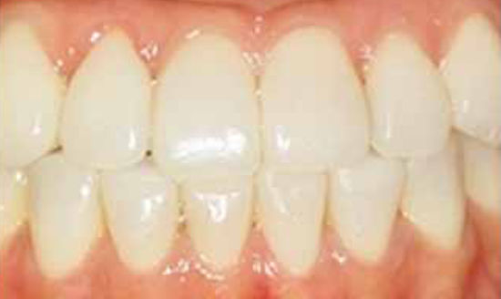
前歯の歪みを修復
- 施術名ラミネートべニア、矯正歯科
- 施術の説明ラミネートべニア治療は、形の悪い前歯をラミネートべニアに置き換える治療法です。矯正歯科治療は、問題のある歯並びをワイヤーやマウスピースなどの矯正装置を使用して、歯の位置を動かし、機能的かつ審美的な歯並びを獲得する施術。
- 施術の副作用(リスク)ラミネートべニア治療は、疼痛・咬合時痛・冷水痛などを生じる事があります。麻酔を行う場合、腫れやむくみを一時的に生じる場合があります。セラミックは固い材料ですが、金属よりもろい面があり、欠けたり、外れたりする事があります。また、治療に際して神経の治療や抜歯が必要な場合もあります。矯正歯科治療は、疼痛・咬合時痛・冷水痛・抜歯を伴う場合は腫脹や出血などを生じる事があります。歯の状態によっては予測する位置まで歯が移動しない場合もあります。装置が壊れるリスクやワイヤーが飛び出たり、変形するリスクもあります。またインプラントアンカーを使用する場合は一時的にインプラントアンカーが抜ける場合もあります。
- 施術当時の総額(税込み)264,000円
前歯の隙間と歯の変色
前歯の隙間と歯の変色を、上下の前歯12本によるラミネートベニアで修復しました。
- 施術名ラミネートべニア
- 施術の説明形の悪い前歯をラミネートべニアに置き換える治療法です。
- 施術の副作用(リスク)疼痛・咬合時痛・冷水痛などを生じる事があります。麻酔を行う場合、腫れやむくみを一時的に生じる場合があります。セラミックは固い材料ですが、金属よりもろい面があり、欠けたり、外れたりする事があります。また、治療に際して神経の治療や抜歯が必要な場合もあります。
- 施術当時の総額(税込み)1,584.000円
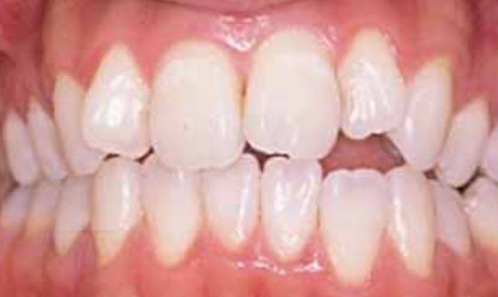
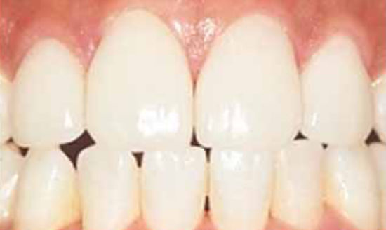
前歯の隙間にラミネートベニア
前歯の隙間が目立っていたため、ラミネートベニア4本で治療しました。
- 施術名ラミネートべニア
- 施術の説明形の悪い前歯をラミネートべニアに置き換える治療法です。
- 施術の副作用(リスク)疼痛・咬合時痛・冷水痛などを生じる事があります。麻酔を行う場合、腫れやむくみを一時的に生じる場合があります。セラミックは固い材料ですが、金属よりもろい面があり、欠けたり、外れたりする事があります。また、治療に際して神経の治療や抜歯が必要な場合もあります。
- 施術当時の総額(税込み)440,000円
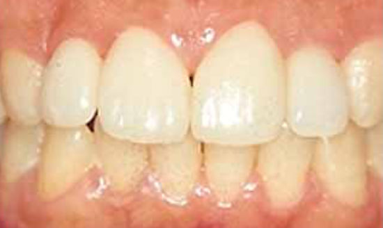
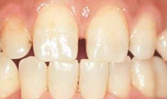
歯の隙間と変色を審美治療
前歯の隙間と歯の変色をホワイトニングした後に、ラミネートベニア4本で修復しました。
- 施術名ラミネートべニア、歯のホワイトニング
- 施術の説明ラミネートべニア治療は、形の悪い前歯をラミネートべニアに置き換える治療法です。歯のホワイトニングは、加齢や食生活などによって変色した歯を漂白剤で脱色して白くする方法です。歯を削る必要もなく、麻酔も必要ありません。
- 施術の副作用(リスク)ラミネートべニア治療は、疼痛・咬合時痛・冷水痛などを生じる事があります。麻酔を行う場合、腫れやむくみを一時的に生じる場合があります。セラミックは固い材料ですが、金属よりもろい面があり、欠けたり、外れたりする事があります。また、治療に際して神経の治療や抜歯が必要な場合もあります。歯のホワイトニングは一時的な疼痛・冷水痛・歯の色ムラを生じる事があります。また患者さまの希望される白さまで到達できない場合もあります。
- 施術当時の総額(税込み)440,000円
前歯のガタガタをラミネートベニアで治療
前歯のガタガタを、歯のホワイトニングをした後にラミネートベニア4本で治しました。
- 施術名ラミネートべニア、歯のホワイトニング
- 施術の説明ラミネートべニア治療は、形の悪い前歯をラミネートべニアに置き換える治療法です。歯のホワイトニングは、加齢や食生活などによって変色した歯を漂白剤で脱色して白くする方法です。歯を削る必要もなく、麻酔も必要ありません。
- 施術の副作用(リスク)ラミネートべニア治療は、疼痛・咬合時痛・冷水痛などを生じる事があります。麻酔を行う場合、腫れやむくみを一時的に生じる場合があります。セラミックは固い材料ですが、金属よりもろい面があり、欠けたり、外れたりする事があります。また、治療に際して神経の治療や抜歯が必要な場合もあります。歯のホワイトニングは一時的な疼痛・冷水痛・歯の色ムラを生じる事があります。また患者さまの希望される白さまで到達できない場合もあります。
- 施術当時の総額(税込み)440,000円
ラミネートベニアによる歯の隙間治療
ラミネートベニアで前歯の隙間を改善しました。歯の色調を整えるため、ホワイトニングも行いました。
- 施術名ラミネートべニア、歯のホワイトニング
- 施術の説明ラミネートべニア治療は、形の悪い前歯をラミネートべニアに置き換える治療法です。歯のホワイトニングは、加齢や食生活などによって変色した歯を漂白剤で脱色して白くする方法です。歯を削る必要もなく、麻酔も必要ありません。
- 施術の副作用(リスク)ラミネートべニア治療は、疼痛・咬合時痛・冷水痛などを生じる事があります。麻酔を行う場合、腫れやむくみを一時的に生じる場合があります。セラミックは固い材料ですが、金属よりもろい面があり、欠けたり、外れたりする事があります。また、治療に際して神経の治療や抜歯が必要な場合もあります。歯のホワイトニングは一時的な疼痛・冷水痛・歯の色ムラを生じる事があります。また患者さまの希望される白さまで到達できない場合もあります。
- 施術当時の総額(税込み)396,000円
セラミックインレー治療
セラミックインレーは、虫歯や歯の欠けた部分を整えた後、型取りや口腔内スキャンで作る白い詰め物です。天然歯に近い色と質感を再現でき、金属アレルギーの心配も少ない治療です。
保険のプラスチックに比べて変色や摩耗に強く、美しさが長持ちしやすい一方、強い力では欠けることがあります。クラウン(被せ物)に比べて削る歯の量が少ないため、見た目と機能の両立を図りたい奥歯の審美歯科治療に適しています
- 施術名セラミックインレー
- 施術の説明色の悪い銀歯をインレー(白い歯)に置き換える治療法です。
- 施術の副作用(リスク)疼痛・咬合時痛・冷水痛などを生じる事があります。麻酔を行う場合、腫れやむくみを一時的に生じる場合があります。セラミックは固い材料ですが、金属よりもろい面があり、欠けたり、外れたりする事があります。また、治療に際して神経の治療や抜歯が必要な場合もあります。
- 施術の価格(税込み)1歯につき44,000円
当サロンでセラミックインレー治療をされた患者さまの治療前&治療後写真をお見せします。各症例の下に治療詳細情報を掲載しております。
金属アレルギーの方のセラミック治療
患者さまが金属アレルギーになったため、奥歯の銀歯を全てセラミックの詰め物に変えました。
- 施術名セラミックインレー
- 施術の説明色の悪い銀歯をインレー(白い歯)に置き換える治療法です。
- 施術の副作用(リスク)疼痛・咬合時痛・冷水痛などを生じる事があります。麻酔を行う場合、腫れやむくみを一時的に生じる場合があります。セラミックは固い材料ですが、金属よりもろい面があり、欠けたり、外れたりする事があります。また、治療に際して神経の治療や抜歯が必要な場合もあります。
- 施術当時の総額(税込み)275,000円
奥歯のセラミック治療
笑うと銀歯が光ってしまうのが悩みだったため、セラミックの詰め物で白い歯を手に入れました。
- 施術名セラミックインレー
- 施術の説明色の悪い銀歯をインレー(白い歯)に置き換える治療法です。
- 施術の副作用(リスク)疼痛・咬合時痛・冷水痛などを生じる事があります。麻酔を行う場合、腫れやむくみを一時的に生じる場合があります。セラミックは固い材料ですが、金属よりもろい面があり、欠けたり、外れたりする事があります。また、治療に際して神経の治療や抜歯が必要な場合もあります。
- 施術当時の総額(税込み)275,000円
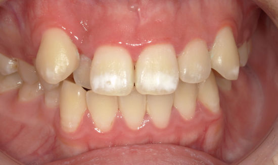
ホワイトスポット治療
歯の表面に白い斑点があり、気になる方には、歯を削らないホワイトスポット治療(別名:アイコン治療)が適している場合があります。
この治療法は、ホワイトスポットのある歯に樹脂成分を浸透させることで、白濁や斑点を目立たなくする治療です。歯を削らずに行えるため、歯への負担も軽減できます。
- 施術名ホワイトスポット治療(アイコン)
- 施術の説明ホワイトスポットのある歯に樹脂成分を浸透させることにより、歯の白濁・斑点を目立たなくする治療です。歯を削ることなく治療することが可能です。
- 施術の副作用(リスク)お口の中に露出した象牙質やセメント質があると痛みが出ることがあります。
- 施術の価格(税込み)2歯まで55,000円。1歯追加ごとに+16,500円
当サロンでホワイトスポット治療をされた患者さまの治療前&治療後写真をお見せします。各症例の下に治療詳細情報を掲載しております。
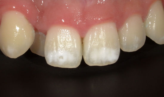
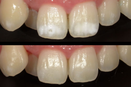
歯の表面の白濁をアイコン治療
歯が生える過程で生じた白濁をホワイトスポット(アイコン)治療で、歯を削ることなく修復しました。
- 施術名ホワイトスポット治療(アイコン)
- 施術の説明ホワイトスポットのある歯に樹脂成分を浸透させることにより、歯の白濁・斑点を目立たなくする治療です。歯を削ることなく治療することが可能です。
- 施術の副作用(リスク)お口の中に露出した象牙質やセメント質があると痛みが出ることがあります。
- 施術当時の総額(税込み)33,000円
セラミックティース治療
セラミックティースは、歯科治療で使われる白い焼き物の歯のことです。従来は「差し歯=セラミックティース」を指すことが一般的でした。治療の流れは、歯を型取りして模型を作成し、その模型を元に歯科技工士が完全オーダーメイドのセラミックティースを製作し、装着して完了します。
セラミックティースは焼き物であるため、歯科技工士がセラミックを焼く専用の電気炉「ファーネス」で作ります。この作業は高度な技術を要するため、当サロンでは担当者をセラミストと呼び、セラミックに関する高度な技術と審美眼を備えた特別なスタッフに製作を依頼しています。
- 当サロンの治療は、患者さまの歯の形や色をセラミストが直接確認し、ご希望を伺ったうえで製作します。さらに、歯の色調を専用機器で測定したり、スライド記録を撮影したりするなど、手間が多いと感じられるかもしれません。しかし、これらの工程を省くと品質の高いセラミックティースは製作できませんので、どうかご理解ください。
- 施術名セラミックティース
- 施術の説明セラミックなどの材料や歯を白くするホワイトニング剤を使用して、歯の色や形を修正する治療法。
- 施術の副作用(リスク)歯を削る必要がある場合があります。また、知覚過敏や歯に一時的な痛みが生じるリスクがあります。
- 施術の価格(税込み)30,000円~200,000円
ハイブリッドセラミック治療
ハイブリッドセラミックは、セラミックとプラスチックの中間的な性質を持つ歯科材料で、フィラーと呼ばれる基質を高濃度に含むため、プラスチックより高い強度を備えています。
また、金属を一切使用しない被せ物の作製が可能で、透明感のある自然な仕上がりが期待できます。最近のブリッジ治療においても、ハイブリッドセラミックを用いた金属不使用の治療も実現しています。
- 施術名ハイブリッドセラミック
- 施術の説明セラミックなどの材料や歯を白くするホワイトニング剤を使用して、歯の色や形を修正する治療法。
- 施術の副作用(リスク)歯の一部を削ることで知覚過敏や一時的な痛みが生じるリスク・副作用があります。
- 施術の価格(税込み)30,000円~200,000円
メタルボンド治療
メタルボンド(陶材焼付金属冠)は、数十年の歴史を持つ歯科材料です。被せ物の内側はプラチナなどの金属で作られ、表面には患者さまごとに完全オーダーメイドで製作したセラミックを焼き付けます。
メリットは、変色せず耐久性や強度に非常に優れている点です。一方、デメリットとしては、金属を使用するため歯肉と歯の間が暗くなりやすく、全体的に透明感が出にくいことが挙げられます。
- 施術名メタルボンド
- 施術の説明セラミックなどの材料や歯を白くするホワイトニング剤を使用して、歯の色や形を修正する治療法。
- 施術の副作用(リスク)歯の一部を削ることで知覚過敏や一時的な痛みが生じるリスク・副作用があります。
- 施術の価格(税込み)1歯につき165,000円
よく聞かれるご質問
質問を押すと回答が表示されます。回答を閉じたい時も質問を押してください。探している質問が見つからない方は、無料相談サービスをご利用ください。
美容歯科は、主に美容外科に併設されている歯科治療を指すことが多く、歯科医院の審美歯科とは根本的な概念が異なると解釈されています。
美容歯科の中には見た目重視で、噛み合わせなどお口の機能性についての処置が不十分な場合があります。
※全ての美容歯科にあてはまるわけではありません。
それに対して、審美歯科の考え方は、歯や身体の健康や機能性を考えるのが前提で、お口の見た目の治療をします。
こればかりは、患者さまのお口の状況次第なので、検査をしないと回数はお答えできません。
目安としては、3ヶ月以内に治療が終わることが多い傾向にあります。
ただし、虫歯が重度の場合や、歯の神経治療が必要な場合は治療回数が伸びると考えてください。
注意していただきたいのは、広告の見出しで「3回の治療で治ります!」のように、回数を断定している歯科医院は、安全面で信頼性に欠けるところもあるので気をつけてください。
保険が効く前歯は「硬質レジン前装冠」と呼ばれており、金属の上にプラスチックを貼り付ける構造になっています。
メリットは保険適応なのでお値段が安い点、デメリットはプラスチックが給水しやすく変色の可能性があることと、歯の裏側に金属を使用するので透明感が出にくいなどが挙げられます。
変色する可能性や、見た目のことを考えますと、女性にはオススメしたくないのが本音です。
歯の形を大きく変えるセラミック治療をする場合は歯の神経を取るケースがあり、神経を取る一番の欠点は、歯が少し脆くなることです。
ただし、歯を補強するため、歯の中にコア剤と呼ばれる心棒を入れることになると思います。
このように神経を取ることが必要なケースであっても、あなたが嫌であれば現在の担当医や他の歯医者に相談してみましょう。
最近の麻酔は進歩しており、痛みをほとんど感じない歯科治療が可能ですし、それ以外にも痛みを抑える方法があります。
例えば、当サロンの場合なら表面麻酔や電動注射器、極細針の使用、温度コントロールした麻酔カートリッジなど、できる限り痛みが少なくなるような対策をしています。
お値段が違う理由ですがセラミックのように保険の効かない自由診療の値段は、各医院で決めて良いからです。
例えば、都市部の医院は、地方に比べると立地やスタッフの費用がかかるため、必然的にお値段が割高になりやすい傾向にあります。
もちろん、ご自身の土地で医院経営している医院や、セラミック素材を大量購入できる人気医院のように例外もあるので一概には言えませんが、自由診療のお値段は地方のほうが魅力的な医院が多いかもしれません。
残念ながら、何も被せていない歯とセラミックを被せた歯を比較すると、セラミックを被せた歯のほうが虫歯リスクは高いと言えます。
その理由は、どれほど精密な治療でもセラミックと歯の間にはミクロン単位の境目ができてしまうため、虫歯になる可能性が残るからです。
ただし、今の予防歯科は進歩していますので定期検診で歯の予防をされるのであれば、セラミックでも虫歯リスクは大幅に低減できます。

前歯が不足していたお口を、矯正歯科治療とラミネートベニアで修復しました。