岡山でオールセラミック治療
オールセラミック治療は、金属を一切使用せず、歯の見た目と機能性を兼ね備えたセラミック素材を用いた治療です。当サロンは総合歯科医院ですので、患者さまのご要望に応じて、さまざまな歯科治療と組み合わせることも可能ですので、お気軽に無料相談サービスでご相談ください。
銀歯を卒業したいアナタへ
日本人に銀歯が多い理由や、銀歯をやめる方に人気のセラミック歯についてご説明します。銀歯をやめる主な理由は「見た目の問題や銀歯で体調不良を感じた、金属アレルギーになった」などです。
Q.日本人に銀歯が多い理由は?
海外の歯科医師から「なぜ、日本人は銀歯が多いのですか?」とよく質問されます。
実は、銀歯を多用している国は世界でも日本だけです。その理由は、現在の保険制度にあります。日本で奥歯の治療をする場合、保険が適用される被せ物は「銀歯(金銀パラジウム合金)」しか選べないからです。
ところが、海外では保険適用外であってもセラミック歯が一般的に選ばれています。
Q.銀歯とセラミック歯の違いは?
銀歯治療は、歯科医師や技工士が最善を尽くして良い被せ物を作っても、虫歯が再発しやすい傾向があります。その理由を2つご説明します。
-
歯と銀歯の熱膨張係数の違い
基本的に、歯のエナメル質と金属である銀歯では熱膨張係数(温度の上昇に伴って物体の長さや体積がどれだけ膨張するかを、単位温度あたりで表した値)が大きく異なるため、目に見えないギャップが繰り返し生じ、歯との隙間から虫歯が再発しやすくなります。
しかも、お口の中は熱いコーヒーから冷たいアイスクリームまでさまざまな温度環境になるため、銀歯には過酷な条件と言えます。逆に言えば、歯のエナメル質とほぼ同じ熱膨張係数を持つ材質を使用すれば、ギャップは最小限に抑えられ、虫歯の再発も防ぎやすいと言えます。その材質こそがセラミックなのです。 -
合着と接着の力
歯を装着する際に使用するセメントは、「合着」と呼ばれる力で留まりますが、この合着の力は決して強くありません。
それに対して、セラミック歯で使用する接着性レジンセメントは、歯を強力に接着できるため、虫歯予防に加えてセラミックの歯自体の寿命も延ばしてくれます。
オールセラミック治療とは
オールセラミックは、高い透明感を持つ歯科材料で、金属を一切使用しないため、金属系の材料に比べて歯肉付近が自然で明るく見えるのが特徴です。
当サロンでは、支台築造体に「ファイバーコア」というグラスファイバー系の材料を使用しており、歯肉が下がっても金属ラインが露出する心配はありません。
また、オールセラミックは金属を含まないノンメタル素材のため、金属アレルギーのある方でも安心して治療を受けていただけます。オールセラミックが向いているのは、下記のような方です。
- 短期間で美しく、白い自然な歯にしたい方!
- 何度も通院したくない方!
- 銀歯やプラスチックの歯は避けたい方!
- 金属アレルギーが心配な方!
- 施術名オールセラミック
- 施術の説明色の悪い歯、形の悪い歯を白いオールセラミックに置き換える治療法です。
- 施術の副作用(リスク)疼痛・咬合時痛・冷水痛・抜歯を伴う場合は腫脹や出血などを生じる事があります。麻酔を行う場合、腫れやむくみを一時的に生じる場合があります。セラミックは固い材料ですが、金属よりもろい面があり、欠けたり、外れたりする事があります。また、治療に際して神経の治療や抜歯が必要な場合もあります。
- 施術の価格(税込み)1歯につき137,500円
e-maxとは
e-maxは、イボクラールビバデント社が開発した、ニケイ酸リチウムを主成分とするセラミック素材です。正式名称は「エンプレス・マックス」で、従来のセラミックより耐久性に優れています。
天然歯に近い硬さを持ち、硬すぎず柔らかすぎないため、噛み合わせる歯への負担を軽減できます。天然歯とほぼ同じ硬さであることから、上下の歯が均等に摩耗し、高い審美性と耐久性を長期間保てる点が特徴です。
- 施術名e-max
- 施術の説明セラミックなどの材料や歯を白くするホワイトニング剤を使用して、歯の色や形を修正する治療法。
- 施術の副作用(リスク)歯の一部を削ることで知覚過敏や一時的な痛みが生じるリスク・副作用があります。
- 施術の価格(税込み)詰め物は1歯につき55,000円、被せ物は1歯につき88,000円
オールセラミック症例
当サロンでオールセラミック治療された患者さまの治療前&治療後写真をお見せします。閲覧前に下記の治療詳細情報をお読みください。
- 施術名オールセラミック
- 施術の説明色の悪い歯、形の悪い歯を白いオールセラミックに置き換える治療法です。
- 施術の副作用(リスク)疼痛・咬合時痛・冷水痛・抜歯を伴う場合は腫脹や出血などを生じる事があります。麻酔を行う場合、腫れやむくみを一時的に生じる場合があります。セラミックは固い材料ですが、金属よりもろい面があり、欠けたり、外れたりする事があります。また、治療に際して神経の治療や抜歯が必要な場合もあります。
- 施術当時の総額(税込み)1歯につき137,500円
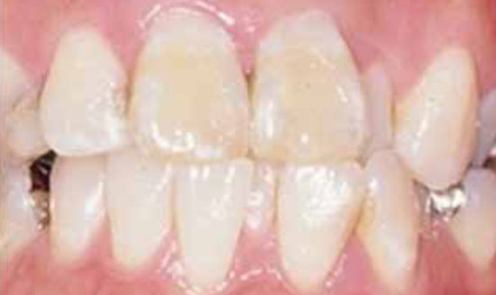
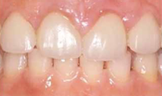
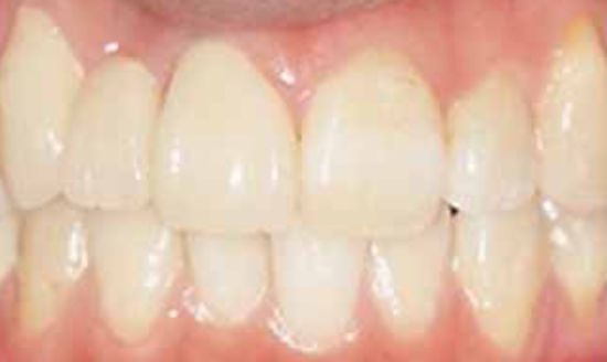
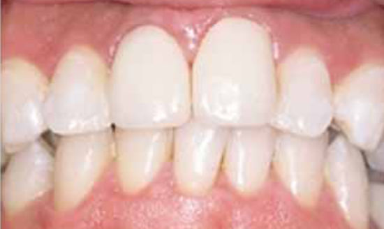
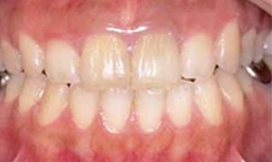
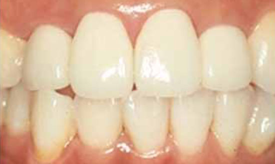
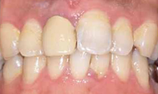
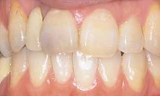
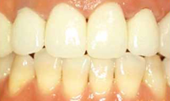
前歯の審美不良をセラミック治療
前歯の黄ばみ治療
上の前歯2本の黄ばみをオールセラミックで治療しました。
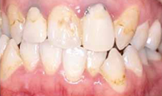
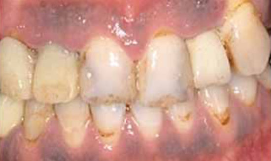
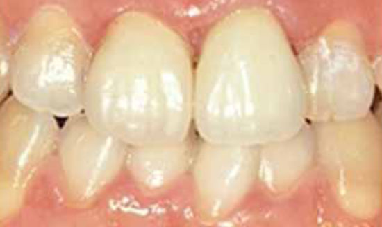
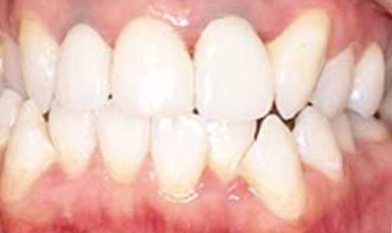
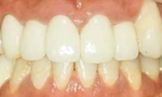
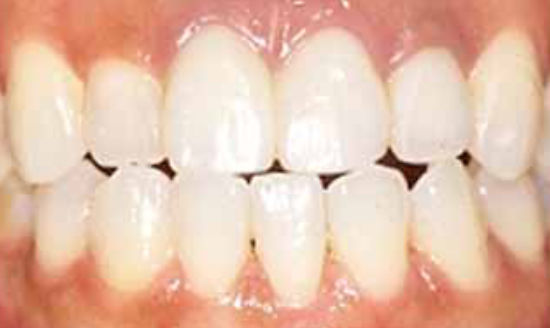
前歯のガタガタと歯の変色
上の前歯のガタガタと歯の変色を、6本のオ-ルセラミックで治療しました。
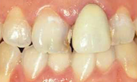
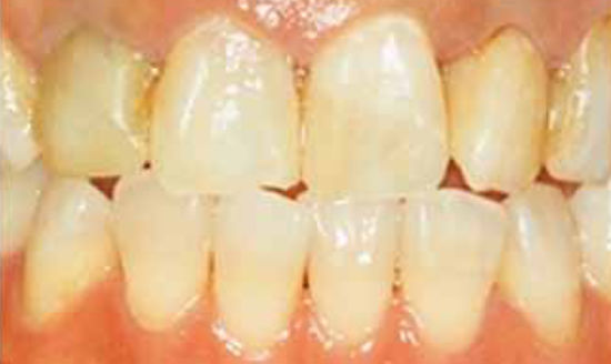
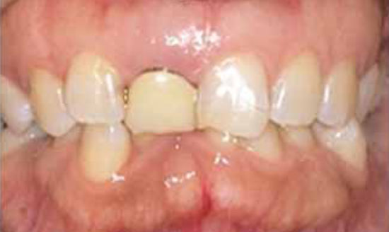
前歯のオールセラミック治療
他院でセラミック治療された前歯の1本が変色してきた為、オールセラミックで修復しました。
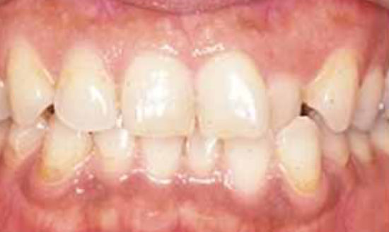
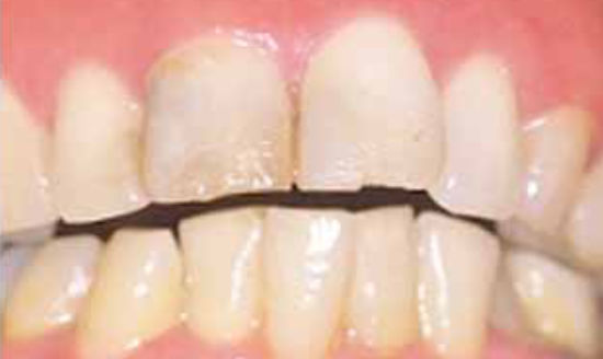
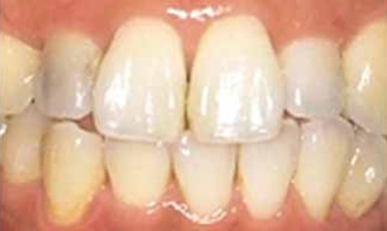
黒ずんだ前歯を白い歯に
神経を取ったことが原因で黒くなってしまった前歯を、オールセラミックで白い歯に修復しました。
オールセラミック&ホワイトニング症例
当サロンでオールセラミック&歯のホワイトニング治療をされた患者さまの治療前&治療後写真をお見せします。閲覧前に下記の治療詳細情報をお読みください。カウンセリング時であれば、その他の治療症例をお見せすることも可能です。
- 施術名オールセラミック、歯のホワイトニング
- 施術の説明オールセラミックは、色の悪い歯、形の悪い歯を白いオールセラミックに置き換える治療法です。歯のホワイトニングは、加齢や食生活などによって変色した歯を漂白剤で脱色して白くする方法です。歯を削る必要もなく、麻酔も必要ありません。
- 施術の副作用(リスク)オールセラミックは疼痛・咬合時痛・冷水痛・抜歯を伴う場合は腫脹や出血などを生じる事があります。麻酔を行う場合、腫れやむくみを一時的に生じる場合があります。セラミックは固い材料ですが、金属よりもろい面があり、欠けたり、外れたりする事があります。また、治療に際して神経の治療や抜歯が必要な場合もあります。歯のホワイトニングは一時的な疼痛・冷水痛・歯の色ムラを生じる事があります。また患者さまの希望される白さまで到達できない場合もあります。
- 施術当時の総額(税込み)オールセラミックは1歯につき137,500円、歯のホワイトニングは22,000円~33,000円
歯の見た目を審美歯科治療
歯の黄ばみと、歯と歯茎の境が黒ずんでいたので、ホワイトニングと前歯6本をオールセラミック治療。
審美障害の前歯治療
前歯2本の審美障害をホワイトニング後にオールセラミックで治しました。
前歯4本をオールセラミック
前歯4本を、ホワイトニングした後にオールセラミックで修復しました。
歯の黄ばみ治療
全体的な歯の黄ばみをホワイトニングで改善してから、オールセラミック1本で仕上げました。
前歯の変色をオールセラミック
前歯3本の変色を、歯のホワイトニングとオールセラミックで治療しました。
歯のガタガタをオールセラミック治療
歯のガタガタの原因になっていた左上2番目の歯をオールセラミックで治しました。
前歯3本をオールセラミック
前歯3本の審美不良を、オールセラミック治療と歯のホワイトニングで修復しました。
黒く変色した前歯
変色した前歯1本を治療する為、ホームホワイトニングしてから黒ずんだ歯にオールセラミックを被せました。
前歯4本のガタガタと歯の変色
歯の変色はホワイトニングで、前歯4本のガタガタはオールセラミックで修復しました。
オールセラミック&ラミネートベニア症例
当サロンでオールセラミック&ラミネートベニア治療をされた患者さまの治療前&治療後写真をお見せします。閲覧前に下記の治療詳細情報をお読みください。
- 施術名オールセラミック、ラミネートべニア
- 施術の説明オールセラミックは、色の悪い歯、形の悪い歯を白いオールセラミックに置き換える治療法です。ラミネートべニア治療は、形の悪い前歯をラミネートべニアに置き換える治療法です。
- 施術の副作用(リスク)オールセラミック治療は疼痛・咬合時痛・冷水痛・抜歯を伴う場合は腫脹や出血などを生じる事があります。麻酔を行う場合、腫れやむくみを一時的に生じる場合があります。セラミックは固い材料ですが、金属よりもろい面があり、欠けたり、外れたりする事があります。また、治療に際して神経の治療や抜歯が必要な場合もあります。ラミネートべニア治療は、疼痛・咬合時痛・冷水痛などを生じる事があります。麻酔を行う場合、腫れやむくみを一時的に生じる場合があります。セラミックは固い材料ですが、金属よりもろい面があり、欠けたり、外れたりする事があります。また、治療に際して神経の治療や抜歯が必要な場合もあります。
- 施術当時の総額(税込み)オールセラミックは1歯につき137,500円。ラミネートべニアは1歯につき121,000円
前歯3本を審美歯科治療
前歯の形が審美不良のため、ラミネートベニア2本とオールセラミック1本で治しました。
オールセラミック&ラミネートベニア治療
前歯のガタつきと審美障害を、ラミネートベニアとオールセラミックでそれぞれ1本ずつ治療しました。
オールセラミック&インプラント症例
当サロンでオールセラミック&インプラント治療をされた患者さまの治療前&治療後写真をお見せします。閲覧前に下記の治療詳細情報をお読みください。
- 施術名オールセラミック、インプラント
- 施術の説明オールセラミックは、色の悪い歯、形の悪い歯を白いオールセラミックに置き換える治療法です。インプラントは、従来の入れ歯やブリッジとは違い、天然の歯と同じように強くて美しくてしっかりと噛める歯を取り戻す治療法です。失った歯の代わりに人工歯根(インプラント)を埋め込み、その上に人工の歯を装着。健康な歯を削ることはありません。
- 施術の副作用(リスク)オールセラミックは、疼痛・咬合時痛・冷水痛・抜歯を伴う場合は腫脹や出血などを生じる事があります。麻酔を行う場合、腫れやむくみを一時的に生じる場合があります。セラミックは固い材料ですが、金属よりもろい面があり、欠けたり、外れたりする事があります。また、治療に際して神経の治療や抜歯が必要な場合もあります。インプラントは、必ず外科治療を伴うために、術後の疼痛・咬合時痛・腫脹や出血などを生じる事があります。麻酔を行う場合、腫れやむくみを生じる事があります。上部の人工歯や土台(アバットメント)が外れたり、欠けたり、緩んだりする事があります。
- 施術当時の総額(税込み)オールセラミックは1歯につき137,500円。インプラントは1歯につき275,000円
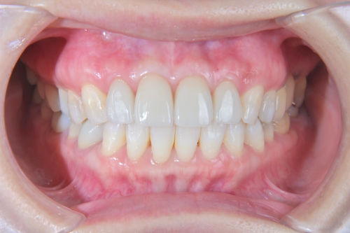
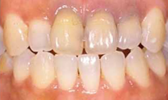
前歯の審美障害を治療
オールセラミック&部分矯正症例
当サロンでオールセラミック&部分矯正治療をされた患者さまの治療前&治療後写真をお見せします。閲覧前に下記の治療詳細情報をお読みください。
- 施術名オールセラミック、部分矯正
- 施術の説明オールセラミックは、色の悪い歯、形の悪い歯を白いオールセラミックに置き換える治療法です。部分矯正は、問題のある歯並びをワイヤーやマウスピースなどの矯正装置を使用して、歯の位置を動かし、機能的かつ審美的な歯並びを獲得する施術。
- 施術の副作用(リスク)オールセラミックは、疼痛・咬合時痛・冷水痛・抜歯を伴う場合は腫脹や出血などを生じる事があります。麻酔を行う場合、腫れやむくみを一時的に生じる場合があります。セラミックは固い材料ですが、金属よりもろい面があり、欠けたり、外れたりする事があります。また、治療に際して神経の治療や抜歯が必要な場合もあります。部分矯正は、疼痛・咬合時痛・冷水痛・抜歯を伴う場合は腫脹や出血などを生じる事があります。歯の状態によっては予測する位置まで歯が移動しない場合もあります。装置が壊れるリスクやワイヤーが飛び出たり、変形するリスクもあります。またインプラントアンカーを使用する場合は一時的にインプラントアンカーが抜ける場合もあります。
- 施術当時の総額(税込み)オールセラミックは1歯につき137,500円、部分矯正は187,000円~
部分矯正&オールセラミック治療
下の前歯は部分矯正、上の前歯は4本のオールセラミックを被せて、前歯のガタガタを治療しました。
オールセラミックブリッジ症例
当サロンでオールセラミックブリッジ治療をされた患者さまの治療前&治療後写真をお見せします。閲覧前に下記の治療詳細情報をお読みください。
- 施術名オールセラミックブリッジ
- 施術の説明色や形の悪いブリッジを白いオールセラミックブリッジに置き換える治療法です。
- 施術の副作用(リスク)疼痛・咬合時痛・冷水痛・抜歯を伴う場合は腫脹や出血などを生じる事があります。麻酔を行う場合、腫れやむくみを一時的に生じる場合があります。セラミックは固い材料ですが、金属よりもろい面があり、欠けたり、外れたりする事があります。また、治療に際して神経の治療や抜歯が必要な場合もあります。
- 施術当時の総額(税込み)1歯につき137,000円
ブリッジの変色を修復
ブリッジにされていた前歯3本が変色したため、新しくオールセラミックブリッジで修復しました。
オールセラミック&歯茎ホワイトニング症例
当サロンでオールセラミック&歯茎のホワイトニング治療をされた患者さまの治療前&治療後写真をお見せします。閲覧前に下記の治療詳細情報をお読みください。
- 施術名オールセラミック、ガムホワイトニング
- 施術の説明オールセラミックは、色の悪い歯、形の悪い歯を白いオールセラミックに置き換える治療法です。ガムホワイトニングは、歯茎の黒ずみを専用の薬剤で解消し、健康的な色に戻すための治療法です。
- 施術の副作用(リスク)オールセラミック治療では、疼痛・咬合時痛・冷水痛・抜歯を伴う場合は腫脹や出血などを生じる事があります。麻酔を行う場合、腫れやむくみを一時的に生じる場合があります。セラミックは固い材料ですが、金属よりもろい面があり、欠けたり、外れたりする事があります。また、治療に際して神経の治療や抜歯が必要な場合もあります。ガムホワイトニングは、一時的な歯肉の腫れや痛み、違和感が生じることがあります。また、状態によっては均一に白くならず、まだらに残る可能性もあります。効果は永遠ではなく、喫煙、強い日焼け、歯周病などがあると再び歯肉が黒ずむことがあります。
- 施術当時の総額(税込み)オールセラミックは1歯につき137,500円。ガムホワイトニングは最大2回で11,000円
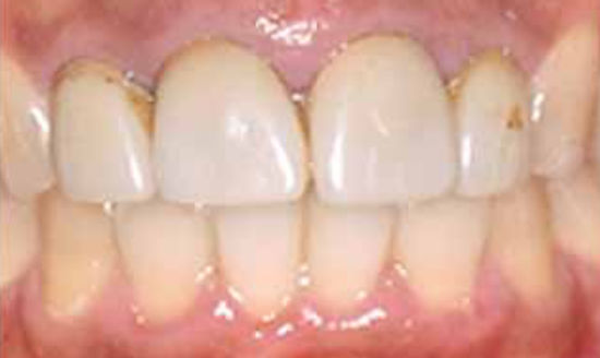
歯茎の黒ずみと、前歯の詰め物の変色
歯茎の黒ずみはホワイトニング、変色した前歯の詰めものはオールセラミックで修復しました。

前歯の審美不良を上下ともオールセラミックで治療しました。