岡山でセラミック矯正治療
セラミック矯正と聞くと美容外科をイメージされるかもしれませんが、総合歯科である当サロンでは、歯医者だからこそできるセラミック矯正治療をご提供しています。また、歯並びや歯の見た目を改善するさまざまな治療が可能ですので、まずはご希望をお聞かせください。
セラミック矯正とは
セラミック矯正とは、歯並びや見た目をよくするために、歯を削るなどしたうえでセラミック製の被せ物を装着し、歯並びを整えたり、理想的な歯の形や色に仕上げたりする審美歯科治療のひとつです。
一般的な矯正治療と異なり、ワイヤーやマウスピースを用いた長期間の歯列矯正は必要なく、短期間で見た目の改善を図れる点が大きな特徴です。
使用されるセラミックには、審美性に優れた高品質な材料が用いられ、天然の歯に近い自然な色合いや透明感を再現することが可能です。また、金属を使用しない素材のため、金属アレルギーの心配もありません。セラミック矯正が向いているのは、下記のような方です。
- 通常の矯正する時間はないので、短期間で歯並びを整えたい方!
- 歯の形をキレイに整えたい方!
- 歯を白く、美しくしたい方!
- 銀歯や差し歯の見た目をキレイにしたい方!
セラミック矯正のメリット・デメリット
どの治療法にもメリットとデメリットがありますが、セラミック矯正はその影響が特に大きい治療法といえます。 もし、デメリットにご不安がある場合でも、当サロンはさまざまな歯科治療に対応できる総合歯科医院ですので、他の治療方法や組み合わせのご提案も可能です。あなたが「こうなりたい」「これは避けたい」と思われることを、ぜひお聞かせください。一人ひとりに合った最適な治療をご提案させていただきます。
セラミック矯正のメリット
-
短期間で歯並びがキレイになる
ワイヤーやマウスピースによる全体矯正は平均で2年以上の治療期間がかかる一方、セラミック矯正は数ヶ月程度で治療が完了します。そのため、結婚式が間近に迫っているなど、急ぎの場合にも対応できます。
-
歯の色、歯の形が整う
セラミック矯正は歯並びだけでなく、歯の色や形、大きさ、角度なども一人ひとりに合わせて整えることができますので、お気軽にご希望を担当医にお伝えください。
-
前歯だけの部分矯正も可能
審美性の高いセラミッククラウンなら、部分矯正にも最適です。前歯だけを治したい、気になる2~3本だけを治したいという方にもセラミック矯正はおすすめです。
セラミック矯正のデメリット
-
歯の神経を取ることがある
セラミック治療で部分矯正を行わない場合、特に前歯が出っ歯のケースでは、角度を補正するために多くの歯の神経を取らなければならないことがあります。神経を取ることで、長期的には歯が脆くなる傾向があります。
-
抜歯することがある
例えば、犬歯がかなり外側に出て八重歯の状態になっている場合、セラミック矯正では犬歯を抜歯してブリッジで治療することがあります。また、部分矯正を行わない場合は、位置の悪い歯を抜歯するケースもあります。
-
大きく歯を削ってセラミックを被せる
セラミック矯正は、歯を削ってセラミックを被せることが基本となるため、歯を大きく削るケースが多くあります。もし、歯をあまり削りたくない場合は、歯を1ミリ弱しか削らないラミネートベニアという方法もあります。
- 施術名セラミック矯正
- 施術の説明歯並びの悪い歯をセラミック素材や様々な歯科治療を組み合わせて整える方法です。
- 施術の副作用(リスク)疼痛・咬合時痛・冷水痛・抜歯を伴う場合は腫脹や出血などを生じる事があります。麻酔を行う場合、腫れやむくみを一時的に生じる場合があります。セラミックは固い材料ですが、金属よりもろい面があり、欠けたり、外れたりする事があります。また、治療に際して神経の治療や抜歯が必要な場合もあります。
- 施術の価格(税込み)1歯につき110,000円~165,000円
美容外科のセラミック矯正トラブル
患者さまからご相談の多い、美容外科におけるセラミック矯正のトラブルについてご説明いたします。なお、トラブルの多い美容外科は一部に限られており、しっかりとしたセラミック矯正を提供している美容外科も存在することをご理解のうえ、お読みいただければと思います。
当サロンのセラミック矯正とは
当サロンのセラミック矯正は、なるべく歯を削らず、神経を抜かず、抜歯をしないことを大切にしており、患者さまに優しい治療をご提供しています。
一般的にセラミック矯正は、歯を大きく削って短期間で見た目を整える治療というイメージがありますが、当サロンでは見た目やスピードだけでなく、歯の健康を長期的に維持することも重視しております。
また、当サロンは総合歯科医院のため、他の歯科治療と組み合わせたご提案も可能です。当サロンのセラミック矯正が向いているのは、下記のような方です。
- なるべく抜歯や歯を削りたくない方!
- 見た目だけでなく、お口の機能性も重視したい方!
- 美容外科のセラミック矯正は不安な方!
- 他の歯科治療との組み合わせも希望する方!
当サロンのセラミック矯正の魅力
なるべく歯の神経を取らない
当サロンは、一般的な美容外科で行われるセラミック矯正とは異なり、歯の一部を部分矯正してポジションを整えた後に歯を削り、セラミックを被せる方法を多く採用しています。この手法により、歯の神経を残せる可能性が高まります。
なるべく歯を抜かない
当サロンは、部分矯正で歯を動かしてから、そのポジションを使って治療するケースが多いので、一般的なセラミック矯正と比較しますと、できるだけ歯を抜かない治療が可能になります。
部分矯正+セラミック治療
当サロンは矯正治療も得意(ワイヤー矯正やインビザラインの専門医在籍)で、ワイヤーやインビザラインiGOによる部分矯正とセラミック治療の組み合わせにより、できるだけ歯を削らない治療を実現しています。
なるべく歯を削らない代替法
オールセラミック治療では、基本的に歯を全周360度削る必要があります。一方で、代替となるラミネートベニアは歯の表面を約1ミリ削るだけなので、削る量を大幅に少なくできます。歯をできるだけ削りたくない方には、特におすすめの治療法です。
セラミック矯正の料金表
岡山ビューティースマイルサロンのセラミック矯正の料金表をご紹介します。掲載料金は税込みです。
強度・耐久性No.1
- オールジルコニアセラミック1歯につき 110,000
100%ジルコニア(人工ダイヤモンド)製で、非常に高い強度と優れた耐久性が特長。さらに、軽やかな着け心地で違和感がなく、快適にご使用いただけます。安心の5年保証付きで、長くご愛用いただけます。
強度 ★★★★★
美しさ ★★★☆☆
人気No.1の高品質セラミック
- ダイヤモンドセラミック1歯につき 137,500
強さ、美しさ、しなやかさを兼ね備えたセラミックNo.1素材。自然で美しく、透明感のある色調を再現します。強度・耐久性・生体親和性を兼ね備えた、最高級で安心できる素材です。安心の5年保証付きで、長くご使用いただけます。
強度 ★★★★☆
美しさ ★★★★★
全てがプレミアムで最上級
- プレミアム・ダイヤモンドセラミック1歯につき 165,000
審美歯科専門の歯科技工士が立ち会いのもと、色見本にない色調や透明感などもオーダーメイドで制作するため、天然歯のような自然な仕上がりが実現します。天然歯の色調や輪郭、唇との調和を追求した高い完成度が特長です。無数にある色調ガイドの中から、お好みの色をセレクト可能。透明感・色・形・位置・角度のすべてにこだわった、最上級プランをご提供します。安心の5年保証付きで、長くご満足いただけます。
強度 ★★★★☆
美しさ ★★★★★
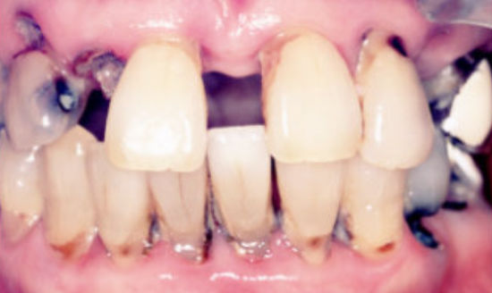
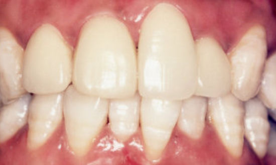
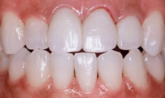
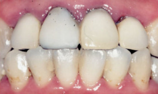
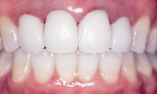
セラミック矯正症例
当サロンでセラミック矯正された患者さまの症例を公開しています。ホームページに掲載されてない症例を見たい方は、カウンセリング時にご相談ください。
- 施術名セラミック矯正
- 施術の説明歯並びの悪い歯をセラミック素材や様々な歯科治療を組み合わせて整える方法です。
- 施術の副作用(リスク)疼痛・咬合時痛・冷水痛・抜歯を伴う場合は腫脹や出血などを生じる事があります。麻酔を行う場合、腫れやむくみを一時的に生じる場合があります。セラミックは固い材料ですが、金属よりもろい面があり、欠けたり、外れたりする事があります。また、治療に際して神経の治療や抜歯が必要な場合もあります。
- 施術当時の総額(税込み)1歯につき110,000円~165,000円
前歯をセラミック矯正で修復
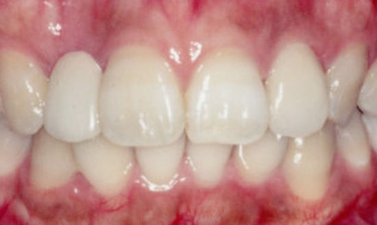
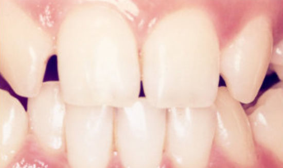
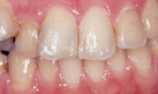
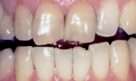
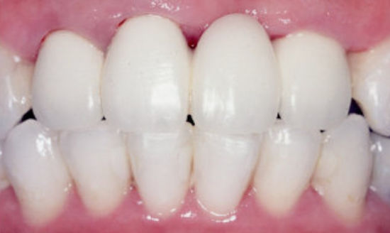
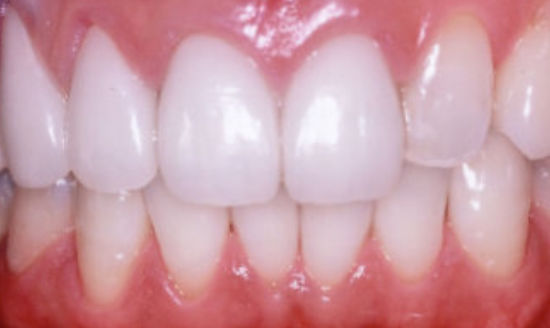
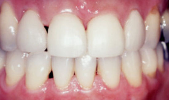
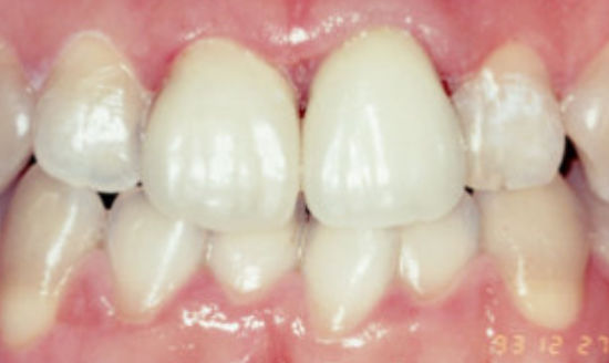
前歯2本をセラミック矯正で修復
前歯2本の隙間が自然な見栄えになるようセラミック矯正で修復しました。
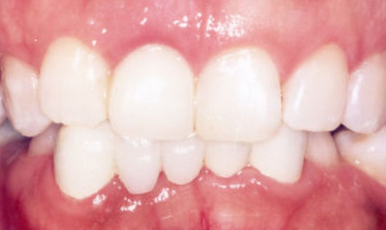
審美のために前歯4本をセラミック矯正
歯の色や汚れなどの審美的な問題を改善するため、セラミック矯正で修復しました。
歯の隙間をセラミック矯正で修復
前歯4本をセラミック矯正することで、歯の大きな隙間を修復しました。
審美力UPのためにセラミック矯正
上の前歯の隙間や歯の汚れを改善するため、前歯4本をセラミック矯正しました。
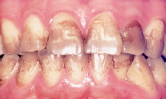
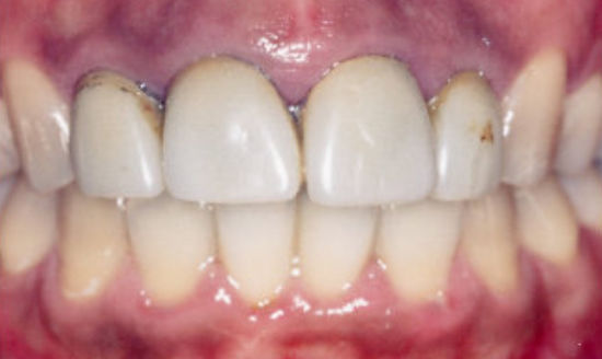
セラミック矯正で歯の黒ずみや汚れを修復
歯の黒ずみや汚れをセラミック矯正(前歯4本)で修復。お口の印象が大きく変わりました。
開咬をセラミック矯正で審美修復
開咬(上下の前歯が噛み合わない隙間のある状態)をセラミック矯正で審美修復しました。
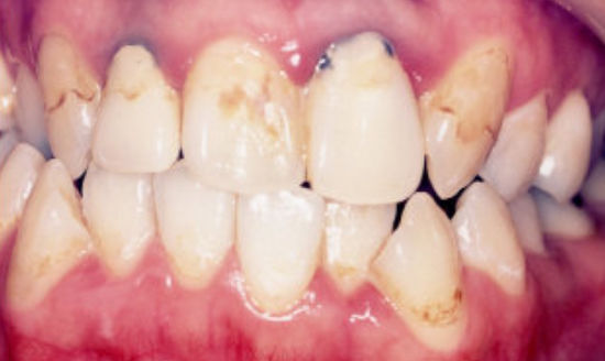
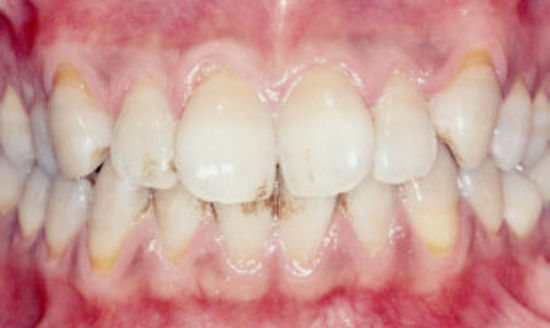
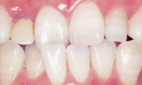
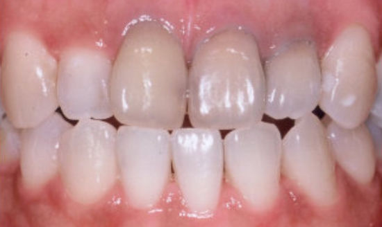
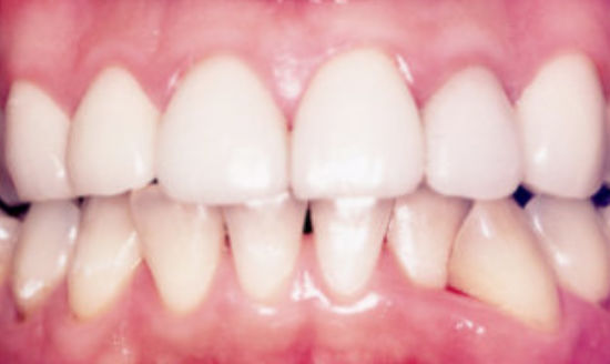
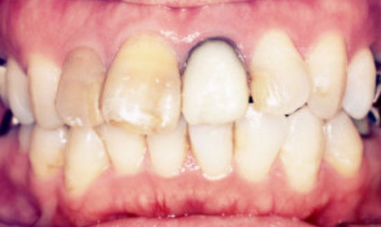
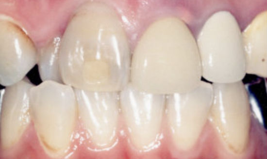
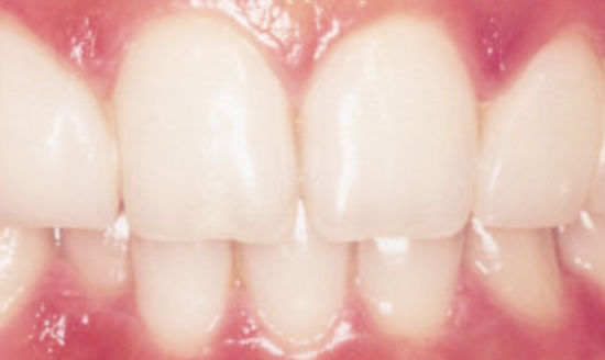
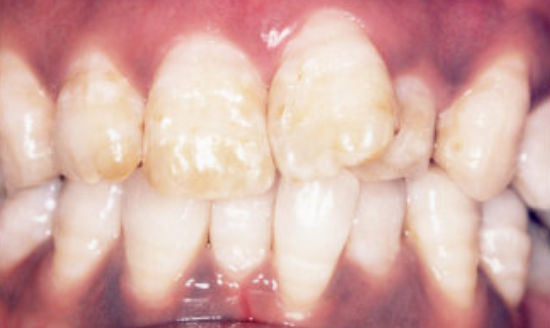
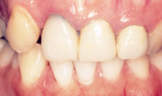
茶色になった歯をセラミック矯正
黄ばみで茶色になった歯をセラミック矯正で修復。治療によりお口の印象が大きく変わりました!
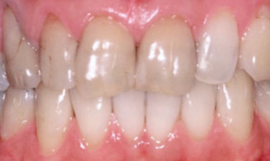
歯の黄ばみをセラミック矯正で修復
4本の前歯をセラミック矯正したことで、歯並びだけでなく色味も美しくなりました。
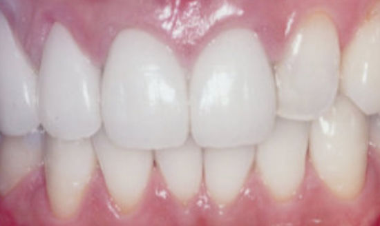
前歯3本をセラミック矯正
前歯3本をセラミック矯正で修復しました。濁っていた歯の色が治療により美しくなりました。
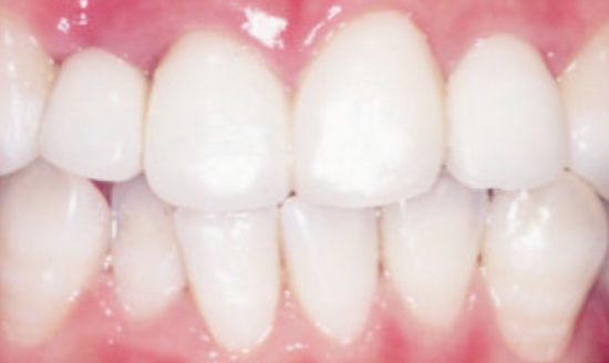
歯の黒ずみをセラミック矯正で修復
歯と歯茎の境の黒ずみを、前歯4本のセラミック矯正で修復。歯の汚れだけでなく色味も美しくなりました。
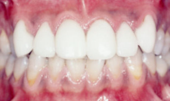
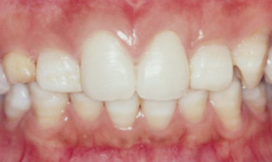
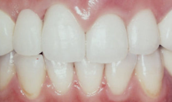
歯並びをセラミック矯正
前歯4本をセラミック矯正で修復。歯並びだけでなく歯の色味も美しくなりました。
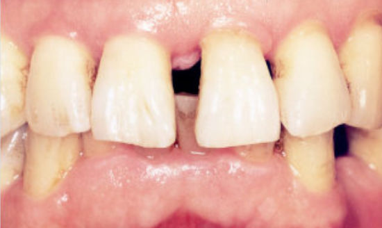
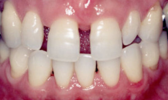
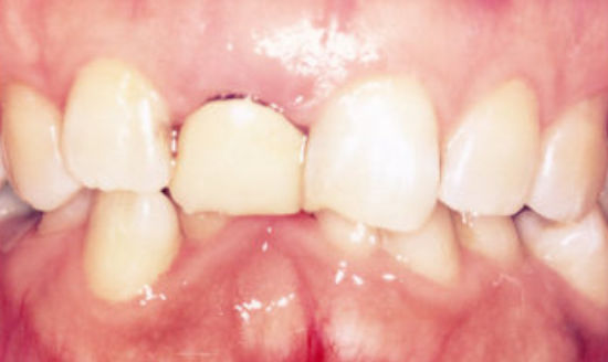
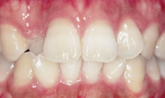
前歯の隙間をセラミック矯正で修復
前歯の広い隙間や咬み合わせをセラミック矯正で修復。治療前後で大きく印象が変わりました。
歯の表面のガタガタをセラミック矯正
歯の表面のガタガタや形状、黄ばみを、前歯4本のセラミック矯正で修復しました。
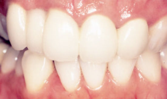
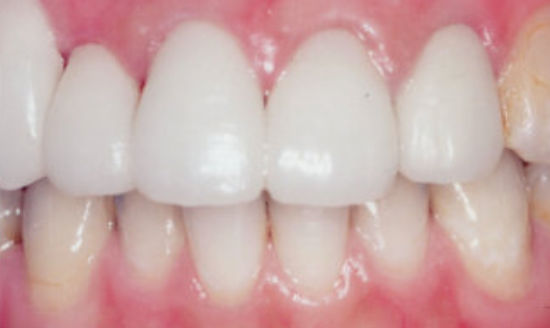
セラミック矯正で歯の隙間を修復
2本の歯が原因で目立っていた歯の隙間をセラミック矯正で修復。印象が大きく変わりました。
前歯8本をセラミック矯正
見た目の悪かった前歯8本をセラミック矯正で修復。歯と歯茎の間の黒ずみもすっかりキレイになりました。
前歯3本をセラミック矯正で修復
前歯3本をセラミック治療で修復。これにより歯の黄ばみや歯茎の黒ずみが改善されました!
前歯&奥歯12本をセラミック矯正
前歯と奥歯12本をセラミック矯正で修復。これにより歯全体の印象が大きく向上しました!
歯の色と形をセラミック矯正で修復
前歯4本をセラミック矯正で修復。歯全体の色も審美歯科治療で大きく改善しました!
前歯4本をセラミック矯正治療
前歯の黄ばみや歯と歯茎の境の黒ずみが綺麗になったことで、歯全体の印象が大きく変わりました!
前歯4本の変色をセラミック矯正
前歯4本の歯の変色をセラミック矯正治療で修復。歯全体の印象が大きく変わりました。
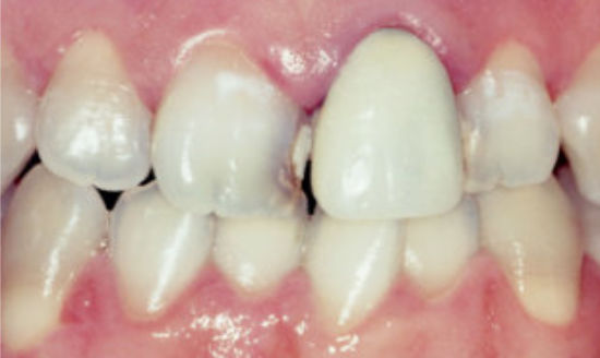
前歯3本の不適合をセラミック矯正
前歯3本の不適合(歯と詰め物や被せ物のつなぎ目のギャップがある事)をセラミックで修復しました。
前歯4本の形成不全をセラミック矯正
前歯4本の形成不全(歯の表面のエナメル質が形成できてない状態)をセラミック矯正で修復。
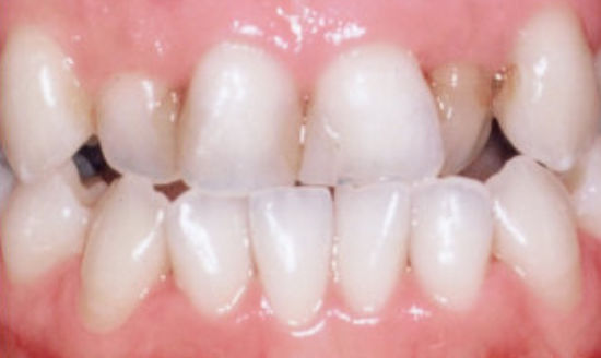
前歯4本の受け口をセラミック矯正
前歯4本の受け口(下の前歯が上の前歯よりも前に出ている状態)をセラミック矯正で修復。
前歯4本の反対咬合をセラミック矯正
前歯4本の受け口(反対咬合)をセラミック矯正で修復。歯の色も綺麗になりました。

歯並びが悪かった、上の前歯をセラミック矯正治療で修復しました。