岡山でホワイトニング治療
歯を白くする医療ホワイトニング治療。当サロンでは、患者さまのご希望に合わせたコストパフォーマンスに優れた3つのコースをご用意しております。また、歯茎を白くするガムホワイトニングも対応可能ですので、ご不明点があればお気軽にご相談ください。
- 当サロンでは、噛み合わせが整い、歯の成熟が完了する「18歳から」ホワイトニング治療を受け付けております。
歯のホワイトニング革命なかのメソッドとは
歯のホワイトニング革命『なかのメソッド』は、診療メニューにいち早くホワイトニングを取り入れ、全国でのホワイトニング講演や書籍執筆を行ってきた院長「中野浩輔(なかのこうすけ)」が、これまで培ってきたホワイトニングや審美歯科の経験を基に開発しました。
なかのメソッドの特長は、ホワイトニング費用をできるだけ安く、無理なく長く続けたい患者さまに特化した、当サロン独自のホワイトニングプログラムです。このサービスが向いているのは、以下のような方です。
- 自分でするセルフホワイトニングをしたけど、満足できなかった方!
- ホワイトニングデビューして、白くなった歯を長期的に維持したい方!
- できるだけ安く、長期的にホワイトニングを続けたい方!
- 他院でホワイトニングしたけど、満足できなかった方!
なかのメソッドの魅力
ホワイトニングの価格破壊
費用はコースによって異なりますが、22,000円~33,000円。当サロンの5年保証サービスで考えると、月々367円~550円(税込)。税抜価格なら、どのコースも月々500円のワンコインに収まります。まずは、他院と比較検討してみてください。
3種類から選べる治療コース
患者さまのご希望に沿って、医院でおこなうオフィスホワイトニング、ご自宅でおこなうホームホワイトニング、または両方を組み合わせたデュアルホワイトニングからお選びいただけます。特にホームホワイトニングは、今の時代に合った気楽にできる治療と言えます。
長期で続けられる5年保証
この5年保証サービスは、当サロンで年3回の定期検診を受けていただくことが前提です。検診のたびに「タッチアップ」と呼ばれる追加ホワイトニング用のホームホワイトニング専用ジェルを1本お渡しします。1年間で3本、5年間で合計15本ご利用いただけます。
- 施術名歯のホワイトニング革命 なかのメソッド
- 施術の説明加齢や食生活などによって変色した歯を漂白剤で脱色して白くする方法です。歯を削る必要もなく、麻酔も必要ありません。なかのメソッドは、医院やご自宅でおこなうホワイトニングの組み合わせによる3種類のコースがあります。
- 施術の副作用(リスク)一時的な疼痛・冷水痛・歯の色ムラを生じることがあります。また患者さまの希望される白さまで到達できない場合もあります。
- 施術の価格(税込み)22,000円~33,000円
なかのメソッド開発者メッセージ
歯のホワイトニング革命『なかのメソッド』開発者の中野浩輔からのメッセージをご紹介します。
歯の変色が起きる理由
「歯が黄ばんできた気がする」「前より色がくすんで見える」。そんな風に感じたことはありませんか?この記事では、歯の変色が起きる理由を3つに分けて、わかりやすく解説します。歯の色は見た目の印象を大きく左右するもの。原因を知ることで、予防や改善にもつながります。
歯のホワイトニングとは
医療ホワイトニングは、大きく分けてご自宅で行う「ホームホワイトニング」と、歯科医院で行う「オフィスホワイトニング」の2種類があります。おすすめは、これらを併用する「デュアルホワイトニング」です。ホワイトニングが向いているのは、以下のような方です。
- 見た目の美しさを向上させたい方!
- 若々しい印象を与えたい方!
- 自信やコミュニケーション力を向上させたい方!
- 自宅や医院など、治療する場所を選びたい方!
歯のホワイトニング治療を受けられない方は「無カタラーゼ症、エナメル質形成不全、象牙質形成不全、妊娠中の方、エナメル質に亀裂がある場合、ホワイトニング部位に虫歯や重度の歯周病がある場合、重度の変色歯」などです。
歯のホワイトニングの安全性と注意点
歯のホワイトニングは、自由診療の中ではリスクが小さく、気軽に始めやすい治療です。それでも、歯のホワイトニングについて知っておいていただきたい知識がありますので、安全性や注意点を理解しておきましょう。
歯のホワイトニングの安全性
ホワイトニングに使用される薬剤には、過酸化水素や、過酸化水素を弱酸性に調整した過酸化尿素があります。
3%の過酸化水素はオキシドールとも呼ばれ、口腔内の殺菌・消毒用途に使用されています。
どちらの薬剤も、米国食品医薬品局(FDA)において歯のホワイトニング用としてではありませんが、口腔内殺菌剤としての安全性が認められています。
国内では、歯科大学の研究室でホワイトニング剤に関する研究が進められており、昭和大学歯学部をはじめ、九州大学や新潟大学などの歯科研究室から関連論文が発表されています。
歯のホワイトニングの注意点
注意点のひとつが「知覚過敏」です。ホワイトニングは専用薬剤が歯に浸透し、歯の色素を分解する仕組みですが、目に見えない歯のヒビや、深部に詰め物がある場合は、高い確率で知覚過敏を引き起こすことがあります。
この症状はあくまで一時的であり、治療を中断すれば症状はすぐに消失します。
もう一つの注意点が「色の後戻り」です。これには個人差がありますが、誰にでも少なからず起こります。そのため、アフターケアを怠ると歯の色が元に戻ってしまいます。そうならないためには、定期健診やメンテナンス用の歯磨剤を使ったケア、タッチアップと呼ばれる後戻りした分だけ元の白さに戻す追加ホワイトニングの継続が大切です。
- 施術名歯のホワイトニング
- 施術の説明加齢や食生活などによって変色した歯を漂白剤で脱色して白くする方法です。歯を削る必要もなく、麻酔も必要ありません。
- 施術の副作用(リスク)一時的な疼痛・冷水痛・歯の色ムラを生じることがあります。また患者さまの希望される白さまで到達できない場合もあります。
- 施術の価格(税込み)22,000円~33,000円
ホワイトニングに関するPDF資料
※閲覧にはPDFソフトが必要です。お持ちでない方はAdobe Acrobat Reader(無料)からダウンロードしてください。
オフィスホワイトニングとは
オフィスホワイトニングとは、歯医者で行うホワイトニングのことです。治療は、白くしたい歯にオフィスホワイトニング専用の薬剤を塗り、専用のライトを使用することで薬剤を活性化させ、歯の色を変化させます。
治療1回の所要時間は20~30分で、これを2~3回ほど繰り返すため、合計40~90分ほどかかります。オフィスホワイトニングが向いているのは、下記のような方です。
- ある程度の白さを、短時間で実現したい方!
- 歯のプロフェッショナルにお任せしたい方!
- 審美歯科治療をする前に歯を白くしておきたい方!
- 自宅でのホワイトニング治療が面倒な方!
治療の流れ
当サロンのオフィスホワイトニング治療の流れについてご説明します。患者さまのお口の状態やご要望によっては治療の流れや内容が変わることがあります。
-
審査・診断
審査・診断後にオフィスホワイトニング治療についてご説明します。
患者さまが治療を進めるご意思があれば、コースの選択や治療計画を決定します。 -
準備
オフィスホワイトニング実施前の準備として、歯面清掃やPMTC(歯のクリーニング)、ベースライン(歯の初期色)とシェード(色調)の確認、写真撮影、口唇・歯肉の保護処理などを行います。
-
歯に光を照射
ホワイトニング剤を歯面に塗布してから光照射を行います。
終了後、薬剤を除去し、フッ素を塗布します。※使用するオフィスホワイトニング剤は「ハイライト、ニベアス、パワーブリーチエクセル3、コントラスタム」など。アシストホワイトニング剤は「レンブラントコンフォート」など。
-
効果判定とメンテナンス
ホワイトニング効果を判定し、ご希望の色になれば治療は完了です。
これからも、現在の歯の状態を維持したい方は、歯科医院でのメンテナンスとタッチアップ(再度行うホワイトニング)を定期的に続けてください。
- オフィスホワイトニング後1時間ほどは、脱灰(歯の表面のエナメル質が溶けやすい状態になること)の可能性がある酸性食品は、なるべく摂取しないでください。主な酸性食品は「ビタミンC、クエン酸、梅干し、ドレッシングなどを含む酢を使用した食品、炭酸飲料、スポーツドリンク、柑橘系の飲食物」などがあります。
- オフィスホワイトニング後48時間は、歯に色がつきやすい食べ物「コーヒー、マスタード、醤油、コーラ、カレーライス、ケチャップ、たばこ、赤ワイン、紅茶、ソース」などは、できるだけ避けてください。
- 食後は、歯の表面の汚れをきちんと落としてください。ブラッシングやデンタルフロスの使用、舌の清掃も十分に行ってください。
- 冷たい物や熱い物を口に入れると、一時的に知覚過敏が起きやすくなります。この知覚過敏は、通常1週間ほどで治まります。
- ホームホワイトニングも行う方は、翌日から開始してください。
- ホワイトニングした歯をより長く保つためには、歯医者で定期的なクリーニングを受けてください。
ホームホワイトニングとは
ホームホワイトニングは、ご自宅で患者さま自身が行うホワイトニングです。最初に歯科医院で診査・診断・カウンセリングをしてから、あなたの歯型に合わせた精密なカスタムトレーを作製します。
その後は、ご自宅で、カスタムトレーに過酸化尿素をベースにしたホームホワイトニング剤を入れ、歯に装着するだけです。装着時間は1日1回、30分~2時間ほど。もちろんネットや読書をしながらでも構いません。ホームホワイトニングが向いているのは、下記のような方です。
- ご自宅でホワイトニング治療をしたい方!
- 歯医者に通院する時間がない方!
- できるだけ通院回数を減らしたい方!
- 歯が白くなっていくのを、ゆっくり楽しみたい方!
治療の流れ
ホームホワイトニング治療の一般的な流れをご紹介します。お口の状態やご希望によっては流れの順番や内容が変わることがあります。
- ホームホワイトニング中は、飲食や喫煙を避けてください。
- トレーにジェルを過剰に注入すると、一時的に歯茎が炎症を起こすことがあるため、ご注意ください。
- ホワイトニング期間中に冷たい物や熱い物を口にすると、一時的に知覚過敏が起きやすくなります。気になる場合はご相談ください。
- ホワイトニング直後は通常より着色しやすい状態になります。そのため、ホワイトニング後30分ほどは、着色しやすい飲食物(コーヒー、マスタード、醤油、コーラ、カレーライス、ケチャップ、赤ワイン、紅茶、ソースなど)をできるだけ避けてください。
ホワイトニングによる効果と影響
- ホワイトニングは、飲食物や加齢による歯の変色に効果的ですが、喫煙者の方は効果が出にくい傾向があります。
- はっきりとした色合いの変化を実感するには、毎日お使いいただいた場合でも3~4週間以上は必要です。また、抗生物質や外傷、病気、金属による変色には、同様の変化が出ないこともあります。
-
審査・診断
審査・診断後にホームホワイトニング治療についてご説明します。
患者さまが治療を進めるご意思があれば、コースの選択や治療計画を決定します。当サロンで使用するホームホワイトニング剤「Niteホワイトエクセル、ホワイト&ブライト、Day White Excel3、ナチュラルエレガンス、ニューラディアンス」など。
-
準備
ホームホワイトニングで使用する樹脂製マウスピースのカスタムトレーを作製する前に、歯面清掃やPMTC(歯のクリーニング)、ベースライン(歯の初期色)とシェード(色調)の確認、写真撮影などを行います。
-
カスタムトレーのための印象採得
患者さまの歯の型を採ります。
-
カスタムトレーの作製
歯の模型を基にカスタムトレーを作製します。作製には約1週間かかります。
※カスタムトレーを紛失・破損された場合は、別途作製代がかかりますのでご注意ください。 -
カスタムトレーのフィットチェック
患者さまのお口にカスタムトレーが適合するかを確認します。
-
ご自宅でホワイトニングの実施
ご自宅でホームホワイトニングを始める前に、歯科医院で使い方や注意事項をしっかりご説明します。ホームホワイトニング剤にはさまざまな種類があり、それぞれ使用法や装着時間が異なるため、担当医の指示に必ず従ってください。
ご自宅でのホームホワイトニングは、基本的に1日1回(30分~2時間)ほど、トレーを装着してください。これを4~6週間ほど続けると、効果が現れます。トレーの装着方法
- トレーを装着する前に、歯を丁寧に磨きましょう。歯の表面に汚れが付いていると、薬の作用を妨げる原因になります。
- 歯の前面に接触するトレーの内側に、米粒大のジェルを注入します。ジェルは過剰に注入しないようご注意ください。
- 歯の表面をなるべく乾燥させた後、お口の中にトレーを装着してください。トレーからジェルがはみ出した場合は、余分なジェルを綿棒や脱脂綿で除去してください。
- トレーを長時間装着すると、知覚過敏の原因になりますのでご注意ください。
トレーの清掃と保管
- お口からトレーを外したら、歯に付いているジェルを歯ブラシで取り除いてください。うがいでも落とすことができます。
- 使用したトレーは、歯ブラシで優しくこすって清掃してください。トレーに熱湯をかけると変形する恐れがあるため、ご注意ください。
- トレーは、しっかり乾燥させてからケースに入れて保管してください。湿ったまま放置すると、カビの発生原因になります。
- ジェルは、キャップをしっかり閉めた状態で冷蔵庫に保管してください。
-
効果判定とメンテナンス
ホームホワイトニングの効果を判定します。ご希望の色になれば治療は終了ですが、ホワイトニング効果は徐々に低下するため、適切なアフターケアと色素沈着を起こす飲食や喫煙制限をするなどの生活習慣の見直しを心がけてください。
現在の歯の状態を維持するには、当サロンでの定期メンテナンスと約半年ごとにホワイトニングジェル1~2本を使用したタッチアップ(再度、行うホームホワイトニング)が効果的です。ただし、1年以上ご来院がない場合は、ジェルのみをお渡しすることはできませんのでご注意ください。
ホームホワイトニングに関するPDF資料
※閲覧にはPDFソフトが必要です。お持ちでない方はAdobe Acrobat Reader(無料)からダウンロードしてください。
ホワイトニングの料金表
歯のホワイトニング治療の費用をご紹介します。なかのメソッドコース以外にも、ディスカスデンタル社の製品を使用したホワイトニングもご提供していますので、ご希望や分からないことがあれば、お気軽にご相談ください。
- 料金は税込み価格になります。
- 虫歯や歯周病を治療されてない方や、喫煙者の方のホワイトニング治療はお断りしています。
歯のホワイトニング
自宅でおこなってもらうホームホワイトニングを含むコ-スでは5年保証サービスが付きます。このサービスは当サロンで年3回の定期健診を受けてもらうことが前提で、検診時に「タッチアップ」と呼ばれる追加ホワイトニングのためのホームホワイトニング専用ジェルを1本お渡しします。5年間で合計15本ご利用できます。
なかのメソッドコースは独自の方法になるので、ディスカスデンタル社のホワイトニング製品は使用しません。
- 新オフィスホワイトニング(なかのメソッド)60分1回ホワイトニング22,000
- 新ホームホワイトニング(なかのメソッド)上下前歯12本のホームホワイトニング22,000
- 新デュアルホワイトニング(なかのメソッド)上下前歯12本のホームホワイトニング+60分1回ホワイトニング33,000
歯茎のホワイトニング
- ガムホワイトニング歯茎におこなうホワイトニング(最大2回)11,000
歯のホワイトニング症例
当サロンで、歯のホワイトニング治療をされた患者さまの治療前&治療後写真をお見せします。閲覧前に下記の治療詳細情報をお読みください。
- 施術名歯のホワイトニング
- 施術の説明加齢や食生活などによって変色した歯を漂白剤で脱色して白くする方法です。歯を削る必要もなく、麻酔も必要ありません。
- 施術の副作用(リスク)一時的な疼痛・冷水痛・歯の色ムラを生じることがあります。また患者さまの希望される白さまで到達できない場合もあります。
- 施術当時の総額(税込み)22,000円~33,000円
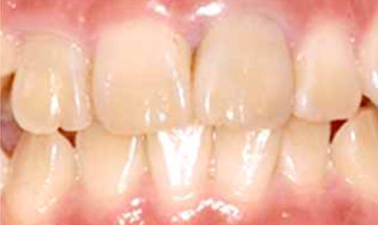
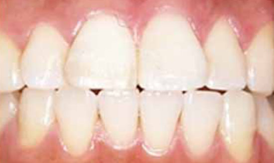
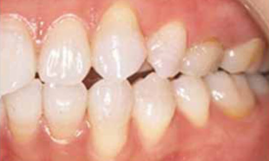
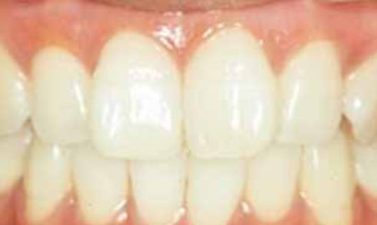
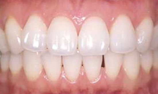
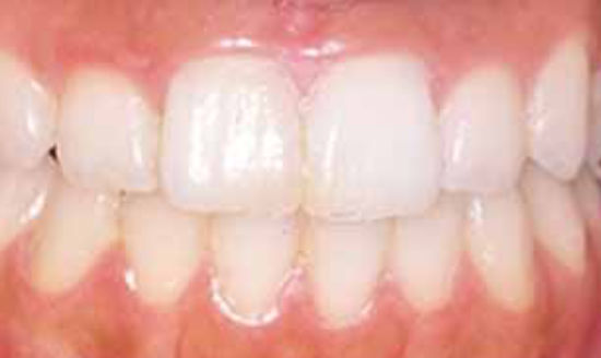
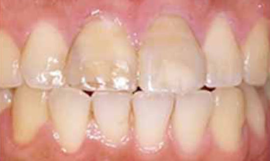
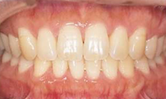
歯の黄ばみにホワイトニング
歯のホワイトニング
患者さまは30代の女性です。1か月のホームホワイトニングで輝く白さになりました。
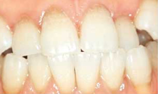
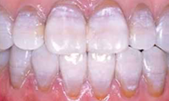
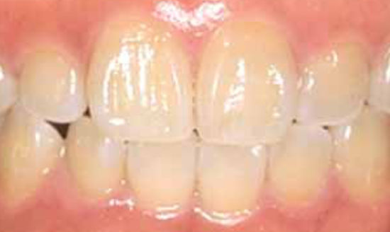
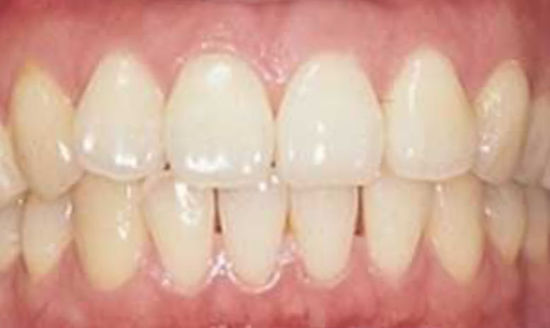
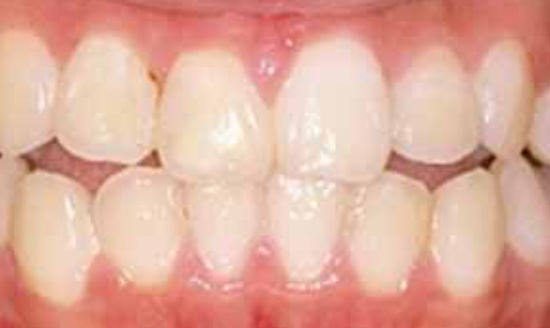
歯の黄ばみにホームホワイトニング
歯の黄ばみをホームホワイトニングで白くしました。この治療で、患者さまのお口元の印象はとても良くなりました。
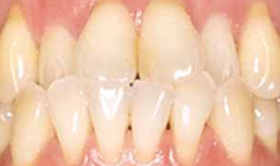
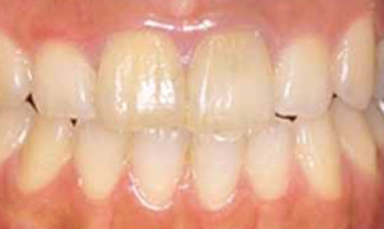
約1か月のホームホワイトニング
約1か月のホームホワイトニングで、患者さまの歯は自然な白さの歯に変わりました。
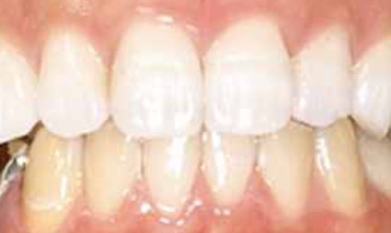
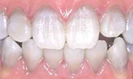
約1か月のホワイトニング治療
ホームホワイトニングを1か月間ほど行ったところ、効果がはっきりと現れ、歯の印象は大きく変わりました。
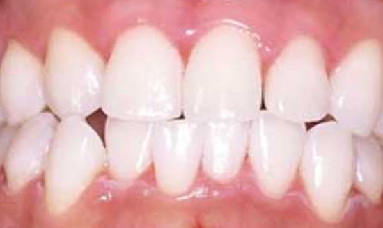
前歯を中心に全体の変色をホワイトニング
神経を取ったことが原因で、変色してしまった前歯2本を中心にホワイトニング治療を行いました。
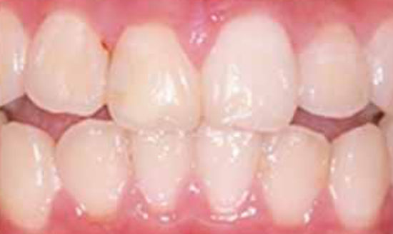
上の前歯6本をホームホワイトニング
上の前歯6本のみをホームホワイトニング。6本の変化ですが見た目の印象は大きく変わりました。
見える歯をホワイトニング
人から見える全ての歯をホワイトニングで白くしました。
歯の変色をホワイトニング治療
変色してしまった歯を全体的にホワイトニングしました。
歯の黄ばみをホワイトニング
全体的に黄ばんでしまった歯をホワイトニング。かなり白い印象になりました。
黄ばんだ歯にオフィスホワイトニング
黄ばみが目立つ前歯にオフィスホワイトニングを行いました。
変色した前歯を中心にホワイトニング
変色してしまった前歯2本を中心に、全体の歯をホワイトニングしました。
黄ばんだ前歯をホームホワイトニング
少し黄ばんでしまった歯のうち、見える12本をホームホワイトニングで白くしました。
前歯のホワイトニング
自然な白さになるよう、前歯12本にホワイトニング治療を行いました。
歯肉炎治療後に歯のホワイトニング
患者さまは20代の女性です。歯肉炎の治療後にホームホワイトニングを行いました。
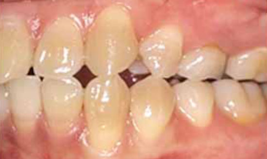
テトラサイクリン歯症例
当サロンで、テトラサイクリン歯をホワイトニング治療された患者さまの治療前&治療後写真をお見せします。閲覧前に下記の治療詳細情報をお読みください。
- 施術名歯のホワイトニング
- 施術の説明加齢や食生活などによって変色した歯を漂白剤で脱色して白くする方法です。歯を削る必要もなく、麻酔も必要ありません。
- 施術の副作用(リスク)一時的な疼痛・冷水痛・歯の色ムラを生じることがあります。また患者さまの希望される白さまで到達できない場合もあります。
- 施術当時の総額(税込み)22,000円~33,000円
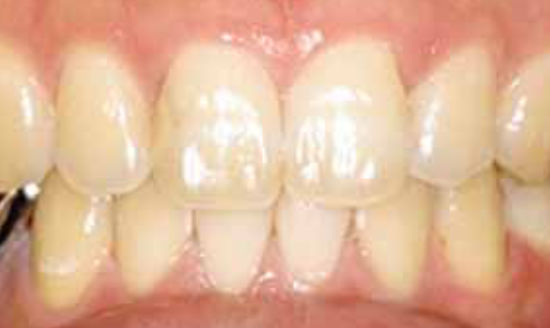
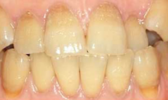
テトラサイクリンによる歯の変色治療
患者さまが、子供の時に飲まれた薬「テトラサイクリン」による歯の変色をホームホワイトニングで治療しました。
テトラサイクリン歯の変色治療
テトラサイクリンによる歯の変色を、ホームとオフィスの組み合わせによるデュアルホワイトニングで白くしました。
黒ずんだ歯の変色をホワイトニング
テトラサイクリンが原因で、黒ずんでしまった歯をデュアルホワイトニングで治療しました。
歯の変色にデュアルホワイトニング
テトラサイクリンが原因で変色した歯にデュアルホワイトニング。かなり白くなりました。
テトラサイクリンの着色に対するホワイトニング
抗生物質「テトラサイクリン」による歯の変色に対してホワイトニング治療を行いました。
歯の変色をデュアルホワイトニング
テトラサイクリンによって変色してしまった歯をデュアルホワイトニングで改善しました。
テトラサイクリンの黒ずみをホワイトニング
テトラサイクリンにより黒ずんでしまった歯に、長期間にわたりホワイトニングを行いました。
歯茎ホワイトニング症例
当サロンで、歯茎のホワイトニング(ガムホワイトニング)治療をされた患者さまの治療前&治療後写真をお見せします。閲覧前に下記の治療詳細情報をお読みください。
- 施術名ガムホワイトニング
- 施術の説明歯茎の黒ずみを専用の薬剤で解消し、健康的な色に戻すための治療法です。
- 施術の副作用(リスク)一時的な歯肉の腫れや痛み、違和感が生じることがあります。また、状態によっては均一に白くならず、まだらに残る可能性もあります。効果は永遠ではなく、喫煙、強い日焼け、歯周病などがあると再び歯肉が黒ずむことがあります。
- 施術当時の総額(税込み)最大2回で11,000円
歯茎の黒ずみをホワイトニング
歯茎のメラニン色素をガムホワイトニングで除去しました。
歯茎のホワイトニング治療
メラニン色素が原因で黒ずんでしまった歯茎をガムホワイトニングしました。
よく聞かれるご質問
質問を押すと回答が表示されます。回答を閉じたい時も質問を押してください。ご希望の回答が見つからない方は、無料相談サービスをご利用ください。
ホワイトニングは「歯を削らない、麻酔をしない、痛くない」など多くのメリットがありますが、ホワイトニングした途端に歯が真っ白になるわけではありません。
また、患者さまの歯の色合いから徐々に白くなっていくので、どのくらい歯が白くなるかは個人差があります。
効果がゆっくり出てくるホームホワイトニングは、時間や方法によっても違ってきますが、2週間ほどで効果を感じられる場合が多いです。
治療前の歯と比較すれば白くなる可能性は高いですが、白くできる度合いや思い通りに白くなったと実感できるかは患者さまによって様々です。
そのため、最初にホワイトニングが適しているかカウンセリングを十分にする必要があります。
例えば、子供の時に飲んだ薬(テトラサイクリン系)の影響で変色してしまった場合、ホワイトニングが有効なケースもありますが、白くできるレベルには限界があります。
ですので、歯の状態によってはホワイトニングが適さない場合もあることをご理解ください。
昔に比べると、多くの歯科医院でホワイトニングを受けられるようになってきました。まずはネットでの情報収集や、気になる歯科医院に電話で聞いてみましょう。
治療料金ですが、ホワイトニングは自由診療なので医院によって違ってきます。そのため、料金の安さに目を奪われていると、トータルでは高くついてしまうケースがあります。
このようなことが起きないよう医院それぞれの料金システムを理解し、事前確認で「どこまで治療してもらえるのか?」「トータルでの支払いはいくらか?」など確認しておきましょう。
また、使用するホワイトニング剤の種類や、歯科医院の立地(都市部や地方)によっても料金は異なってきますので、様々な要素を考慮して医院選びをしてください。
ホワイトニング自体は痛くありませんが、人によっては知覚過敏が起き、歯がしみることがあります。
主な原因は、深い虫歯治療をした時の詰め物や、目では見えないような歯の小さなヒビがあると高い確率で起こります。
ただし、一過性の症状なので心配いりませんし、フッ素クリームでしみる症状を抑えることができます。
ホワイトニングの種類を大きく分けると下記の2種類になります。
- 自宅でできて、効果がゆっくり出てくるホームホワイトニング
- 歯科医院で行い、効果が早く出るオフィスホワイトニング
この選択肢の場合、歯科医院での治療で構わなければオフィスホワイトニングが向いています。 まずは、専門医に「どれぐらいの期間で白くしたいか」を伝えるのが良いでしょう。
残念ながら、ホワイトニングで白くなった歯は必ず一定の後戻りが起きます。
そのため、歯の白さを長期間に渡って持続させるにはタッチアップと呼ばれる簡単なケア(3~6ヶ月に1度の簡単なホームホワイトニングなど)が必要になります。
歯が白くなったと感じるレベルは、人によって様々なので何とも言えませんが、専門的な視点から見た場合は、市販の歯磨き粉で歯を白くするのは難しいと考えます。
その理由は、ホワイトニング効果が期待できる主な薬剤である「過酸化尿素、過酸化水素」などは、日本の薬事法で市販の歯磨き粉に入れることができなかったり、濃度に制限があったりするためです。
ほとんどの場合、現状より歯は白くなります。
その度合いによって、印象や見た目の雰囲気が良くなったり、気持ちに自信がついたりするなどの精神的な効果が期待できます。
ただし、人によって歯が白くなる度合いは違いますし、ホワイトニング治療後の感じ方は人それぞれなので効果は断言できません。
髪の毛や皮膚の色に個人差があるように、歯の色や質にも個人差があります。
また、加齢とともに歯は黄色くなっていきます。
過酸化水素や過酸化尿素などの薬剤が、色素を分解することで歯が白くなります。
ホワイトニングが難しい方もいらっしゃいますので、治療できるか気になる方は医院にご相談ください。
当サロンは無料相談サービス(メールやLINEなど)をご用意しております。

患者さまは、大学に通う20代の男性。夏休み中に、歯の黄ばみをホームホワイトニングで白くしました。